Limed Centrum Ortodoncji i Implantologii
Lokalizacja
Ladowanie mapy...
Ołtaszyńska 37, 53-010 Wrocław, Polska
O firmie
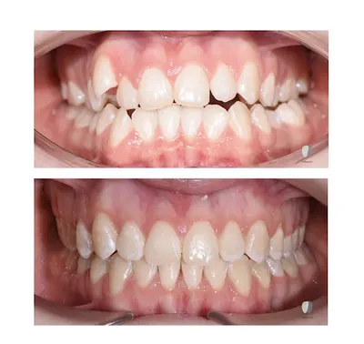
Limed Centrum Ortodoncji i Implantologii to nowoczesna klinika stomatologiczna zlokalizowana przy ulicy Ołtaszyńskiej 37 we Wrocławiu (53-010). Specjalizująca się w ortodoncji, implantologii i kompleksowym leczeniu zębów, cieszy się wysoką oceną 4.7/5 w Google na podstawie 82 opinii pacjentów. Klienci chwalą przede wszystkim profesjonalizm lekarzy, takich jak dr Michał Chrobak, dr Liwia Minch czy dr Ostap, którzy podchodzą do każdego przypadku indywidualnie, z dbałością o komfort pacjenta. W opiniach często pojawia się podkreślenie nowoczesnego sprzętu, bezbolesnych zabiegów – od leczenia kanałowego, przez usuwanie ósemek, po ortodoncję i implanty – oraz życzliwej obsługi całego personelu, w tym higienistek jak Miriam al-Bermawi i recepcjonistek. Pacjenci doceniają kompleksową opiekę pod jednym dachem, szybką pomoc nawet w nagłych przypadkach czy dla osób spoza stałych klientów, a także dobre podejście do dzieci i rodzin. Klinika wyróżnia się elastycznością terminów i higieną, co buduje zaufanie na lata. Mimo sporadycznych uwag krytycznych, jak jedna opinia dotycząca diagnozy, większość pacjentów wraca z poleceniem, podkreślając rozsądne ceny względem jakości. Limed to miejsce, gdzie wizyta u dentysty przestaje budzić stres, a staje się standardem profesjonalnej opieki we Wrocławiu. (198 słów)
Co mowia klienci
“Klinika Limed zbiera w większości entuzjastyczne opinie (19/20 ocen 5/5), chwaloną za profesjonalizm lekarzy, nowoczesne wyposażenie i empatyczne podejście do pacjentów. Pacjenci podkreślają skuteczność zabiegów ortodontycznych, implantologicznych, kanałowych oraz usuwania zębów. Jedna negatywna opinia wskazuje na problemy z diagnozą w nagłym przypadku.”
Mocne strony
- Profesjonalizm i wysoka kompetencja lekarzy (m.in. dr Michał Chrobak, dr Liwia, dr Monika, dr Ostap)
- Nowoczesna klinika z zaawansowanym sprzętem i bezbolesnymi zabiegami
- Indywidualne, empatyczne podejście i troska o komfort pacjenta, w tym psychologiczny
- Kompleksowa oferta: ortodoncja, implanty, leczenie kanałowe, usuwanie ósemek
- Pomoc w nagłych przypadkach nawet dla nieklientów i miły personel recepcji
Do poprawy
- Trudności z diagnozą w nagłym przypadku silnego bólu zęba
Idealne dla
Dla pacjentów wymagających ortodoncji, implantów, leczenia kanałowego, usuwania zębów oraz rodzin z dziećmi szukających kompleksowej i empatycznej opieki stomatologicznej.
Kategorie
Podobne firmy w okolicy

Orto Face - Ortodonta Wrocław
M-dent Magdalena Nadolna-Karpińska

mf.dent STOMATOLOGIA - ortodoncja, Invisalign, protetyka, endodoncja, stomatologia

Prime Dental

Centrum Ortodontyczne OrthoLine Patrycja Downarowicz

Ortodonta OrthoTeam Stomatologia Warmuz - Implanty zębowe
Inne firmy w okolicy

Genesa SPA

Magic Service

Auto Serwis Marek Ryś
Specjalistyczny Gabinet Neurologii Dziecięcej dr n. med. Adrianna Wilczek -

Grupa Kapitałowa Południe-Zachód Sp. z o.o.

Kancelaria Adwokatów i Radców Prawnych Halaś, Konieczny i Wspólnicy sp.k.
Wojewódzki Lekkoatletyczny Klub Sportowy

Kamiński | doradztwo podatkowe

Centrum Medyczne T&T Medical

Tomasz Tuchendler

Kwiaciarnia Domek Kwiatowy Dowóz

SOLIDACH Wojciech Węgiel
Małe Podatki Biuro Rachunkowe
Elektromechanika Pojazdowa DB SERWIS Daniel Borszcz, Koszycka 4. Wrocław

Euro M

Hol-Max
Meditor Sp. z o. o. Kancelaria Odszkodowawcza

Biuro Rachunkowe AKURATNE. Ułatwiamy

Lakiernictwo

Sensive Materace Wrocław - Producent Materacy i Łóżek